가장 두드러진 특징은 손상부위의 국소 압통.
국소 부종도 18~44%의 경우에서 나타날 수 있습니다.
• 촉진 가능한 일반적인 부위: 경골, 주상골, 비골, 중족골, 종골 등.
• 촉진이 어려운 부위: 구조의 깊이 때문에 촉진이 어려운 부위의 경우, 점진적인 활동(Calf raise, hop, jogging 등)을 수행하게 하여 통증이 재현되는지 확인 하는 비특이적 검사 유용.
• 생체역학 평가: 피로골절의 95%가 하지에서 발생하므로, 하지 길이, 하지 가동범위, 발 생체역학에 대한 평가가 중요.
• 전문가 의견: 임상 평가는 개인의 생체역학 및 스포츠 요구 사항을 고려하고 조기 진단을 내리고 피로 골절 방지의 핵심.
특정 부위 피로골절의 병력 특징:
• Metatarsal 중족골 : 발 앞부분 통증과 체중 부하 활동 시 통증 호소.
• Posterior Tibia 경골 후외측 : 후외측 정강이 또는 '종아리' 통증을 호소하며, '종아리 부상'으로 오인 하기도 함.
• Navicular 주상골 : 발 중앙 통증이 점진적으로 발생하며, 통증이 광범위하고 국소화 하기 어려워 진단이 지연되는 경우 많음.
• Fifth Metatarsal 제5중족골 : 외측 발 통증이 점진적으로 발생하며, 때로는 급성 발목 염좌 후 발현 되어 기존의 피로 손상을 '완성' 시키는 경우도 있음.
• Spondylolysis 척추분리증 : 편측성 허리 통증으로 시작하여 점차 악화. 휴식 시 호전, 하지만 복귀시 악화되며, 허리 신전 및 회전(롱패스, 슈팅, 크로스) 동작에서 악화.
• Anterior Tibia 경골 전방 : 활동 시 악화되는 전방 정강이 통증을 호소. 통증은 서서히 시작하여 훈련 세션 후반이나 달리기 활동시에 악화. 심해지면 일상생활에서도 통증이 나타남.
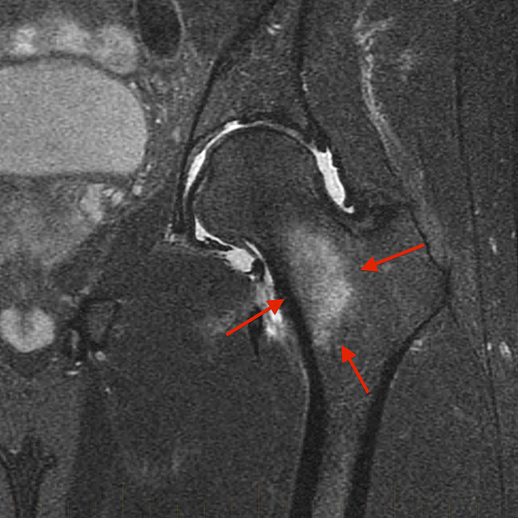
• Femur 대퇴골 : 모호하고 깊은 허벅지, 엉덩이 또는 서혜부 통증이 서서히 시작 됨. 때로는 무릎이나 허벅지 후방으로 방사되기도 함. 달리기, 점프 등 고강도 활동 시 악화되고 휴식 시 호전. 심한 경우 걷거나 서 있는 것 만으로도 통증 유발 및 야간 통증 호소.
• Medial Malleolus 내측 복사뼈 : 내측 복사뼈 부위에 지속적이고 설명되지 않는 통증을 경험하는 경우 의심. 전방 발목 충돌 증후구관의 연관성도 언급됨.
• Groin 서혜부 통증: 서혜부 통증에 대해 피로골절은 드물지만, Femoral neck 대퇴골 경부 나 Pubic bone 치골의 피로골절 가능성도 고려해야함. 또한, 병력청취를 통해 장골근, 내전근, 서혜부, 치골, 고관절 관련 통증 등 다양한 서혜부통증의 'entities 실체'를 구별할 수 있다. 발열, 체중 감소, 피로, 최근 감염(설사) 등의 systemic symptoms 전신증상은 고관절 반응성 활액막염, 세균 감염 또는 악성 질환과 같은 더 심각한 질병을 시사할 수 있으므로, 건강한 젊은 선수에게서도 잘 살펴봐야 한다.
검사
1. X-ray
• 일반적으로 피로골절의 X-ray 변화는 늦게 나타나거나 전혀 나타나지 않을 수 있음.
• 미묘한 골막 반응부터 육안으로 보이는 골절선까지 다양하게 나타남.
• 다섯번 째 중족골 기저부, 대퇴경부, 경골 전면과 같이 위험성이 높은 뼈의 완전 골절을 방지하는 초기 선별 도구로 사용될 수 있음.
• 골반 X-ray는 고관절, 치골 결합 및 치골을 평가하는데 사용 될 수 있으며, 대퇴경부 또는 치골의 피로골절 가능성을 고려해야 함.
• 치골 관련 통증의 경우, X-ray에서 moth-eaten 좀먹은 모양, erosion 미란 ,경화, 골극 형성 등이 나타날 수 있다.
• 주상골 피로골절의 X-ray는 일반적으로 정상입니다.
• pars interarticularis 척추분리증의 만성, 완전 피로골절은 x-ray로 감지 될 수 있지만, 급성 피로골절은 감지되지 않는다.
2. CT (Computed Tomography)
• x-ray로 쉽게 시각화 되지 않는 주상골, pars interarticularis 척추관절간부와 같은 뼈의 피질 골절을 시각화하는 데 필요할 수 있다.
• 방사선량으로 인한 암 위험 증가 때문에 특히 어린 선수에게는 신중하게 사용해야 한다.
• 주상골 피로골절의 진단 및 병기 결제 있어 황금표준으로 간주 된다.
• 경골 후면 피로골절의 경우 뼈 손상 정도를 명확히 하여 재활 계획의 기초 마련에 적절할 수 있음.
• 척추분리증의 골절선 유무 및 완전성을 추가로 확인하기 위해 표적 CT가 필요할 수 있다.
• 경골 전면 피로골절의 경우 피질 뼈의 세부 정보를 파악하는 데 가장 민감한 검사.
3. 골 스캔 (Bone Scan/ Scintigraphy)
• 방사선 표지 동위원소(주로 테크네튬-99/ technetium-99m) 주사를 사용.
• 증가된 골 리모델링을 감지하는 데 매우 민감하다.
• 피로골절의 임상적 회복 후에도 방사선 동위원소 흡수가 한동안 유지될 수 있으므로, 회복 모니터링에는 유용성이 떨어질 수 있다.
• 감염이나 종양과 같은 다른 원인으로도 동위원소 흡수가 증가할 수 있으므로 피로골절에 특이적이지는 않다.
• 치골 관련 통증의 경우 신티그램 scintigraphy 이 치골 결합 주변의 신호 증가를 보여줄 수 있다.
• 대퇴골 피로골절을 진단을 확인하고 손상범위를 파악하는데 사용된다.
4. MRI (Magnetic Resonance Imaging)
• CT 스캔의 다면 영상과 골 스캔의 뼈 병리 생리학 감지 기능을 방사선 노출 없이 제공.
• 피로골절은 MRI에서 골막 또는 골수 부종으로 확인 될 수 있으며, 특정 시퀸스에서는 골절선도 시각화 가능.
• 골 스캔과 마찬가지로 골수 부종은 피로골절에 특이적이지 않으며, 피로골절 해소 후에도 한동안 부종이 남을 수 있음.
• 서혜부 통증의 경우 MRI 또는 초음파 검사가 손상된 근육과 병변의 크기를 평가하는 데 도움이 될 수 있음.
• 치골 결합 주변의 뼈 골수 부종(BMO)을 평가하는 데 MRI가 사용 될 수 있으나, 무증상 축구 선수에게도 흔한 소견중 하나.
• 척추분리증 진단의 주요 선택 양상 Modality이며, 척추관절간부 부위에서 골수 부종이 관찰 될 수 있음.
• 경골 전면 피로골절 감지에 더 민감한 검사.
• 내측 복사골 피로골절의 경우 높은 민감도와 특이도를 가진다.
• 주상골 피로골절의 초기 진단에 사용.
• 대퇴골 피로골절 진단을 확인하고 손상 범위를 파악하는 데 사용 된다.
5. DEXA 스캔 (Dual Energy X-ray Absorptiometry)
• 피로골절이 있는 여성 운동선수, 특히 상대적 에너지 결핍(RED-S)의 증거가 있는 경우 골밀도 평가를 위해 시행해야 한다.
• 골밀도 변화는 느리게 나타나므로 2년에 1번 이상 반복해서 시행하지 않는 것이 일반적.
*특정 피로골절 부위의 검사.
• 치골 및 대퇴경부 피로골절: 사타구니 통증의 드문 원인이지만 고려되어야 함. 치골 관련 통증의 경우, X-ray, MRI, 신티그램 및 국소 마취제 주사 등이 진단에 도움 될 수 있음.
• 주상골 피로골절: 진단이 어렵고 지연되는 경우가 많음. X-ray는 일반적으로 정상이지만 골 스캔과 MRI에 민감하며, CT가 진단 및 병기 결정의 황금표준.
• 대퇴골 피로골절: 막연하고 깊은 허벅지, 고관절 또는 사타구니 통증을 호소하며 X-ray, 골 스캔, MRI를 통해 진단을 확정하고 손상 범위를 평가.
• 경골 전면 피로골절: 드물지만 심각한 결과를 초래 할 수 있는 고위험 골절. X-ray에서 골막 반응 및 피질 비후, dreaded black line이 나타날 수 있으며, MRI가 더 민감하고, 미세 CT가 피질 뼈의 세부 정보를 확인하는 데 가장 민감하다.
• 내측 복사골 피로골절: X-ray에서는 일반적으로 보이지 않지만, MRI가 높은 민감도와 특이도를 보이며, CT가 골절선의 전체 범위를 평가하는데 필요 할 수 있다.




*결론적으로, 피로골절의 검사는 국소 압통 및 부종을 확인하는 임상 검사와 더불어 X-ray, CT, 골 스캔, MRI, DEXA 스캔과 같은 다양한 방사선 검사를 포함한다. 각 검사는 피로골절의 유형, 위치, 진행단계에 따라 선택적으로 사용되며, 특히 X-ray로 확인되지 않는 경우가 많으므로 높은 의심 수준과 정교한 영상 진단이 중요하다.
'⚽Fußball > FIFA Medical Network' 카테고리의 다른 글
| Lower Limb - Groin Injuries 병력 (0) | 2025.09.21 |
|---|---|
| Lower Limb - Groin Injuries 개요 (0) | 2025.09.21 |
| Lower Limb - Stress Fractures 조사와 예방 (0) | 2025.09.16 |
| Lower Limb - Stress Fractures 치료 (1) | 2025.09.15 |
| Lower Limb - Stress Fractures 개요 (1) | 2025.09.14 |